Schlaganfallbehandlung mit Thrombektomie
11.03.2016
Jährlich erleiden ca. 260.000 Menschen in Deutschland einen Schlaganfall. Zur Behandlung eines Schlaganfalls, der durch einen Verschluss einer Hirnarterie verursacht wird, gibt es im Wesentlichen zwei Möglichkeiten: Entweder durch eine Lyse, also durch die Gabe eines Blut verdünnenden Medikaments, das auch den Bluttropfen auflösen kann, oder durch die mechanische Entfernung des Verschlusses.
Der erste Schritt im Krankenhaus ist immer die Diagnose mittels CT oder MRT. Danach kann die Therapie beginnen. Bisher stand nur die Möglichkeit der intravenösen Lyse zur Verfügung. Dabei wird ein Mittel zur Blutverdünnung gespritzt, das oftmals das verschlossene Gefäß wieder öffnet. Dies ist wichtig, denn wenn Teile des Gehirns dauerhaft nicht mit Blut versorgt werden, sterben sie ab. Dies führt zu teilweise schweren Behinderungen. Die intravenöse Lyse kommt heute in ca. 10 Prozent der Fälle zur Anwendung. Dies wird durch die Neurologie am Haus durchgeführt. Bei Gerinnseln, die länger als ein Zentimeter sind, wirkt die intravenöse Lyse häufig nicht. Die Folgen für die Patienten mit Verschlüssen solch großer Gefäße wären eine schwere Behinderungen oder der Tod. Dann bleibt den Ärzten nur noch die Möglichkeit, mit einem Katheter durch die Leiste direkt an das Gerinnsel im Gehirn zu gehen und dieses zu entfernen, die sog. Thrombektomie.

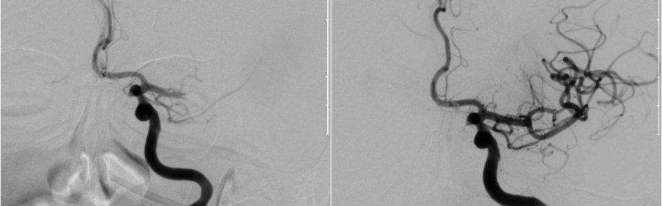
Eine Darstellung der Blutgefäße im Gehirn vor (links) und nach (rechts) der Thrombektomie.
Betrifft der Verschluss die Basilaris-Arterie, führt der Schlaganfall fast immer zum Tod, da dieses Gefäß für die Versorgung des Hirnstamms zuständig ist. Die einzige Chance in diesem Fall ist die Thrombektomie. Bei der Thrombektomie wird ein dünner Schlauch von der Leiste in die große Halsarterie eingeführt. Durch diesen wird ein zweiter Katheter, an dessen Ende sich ein Stent befindet im Gerinnsel entfaltet. Dadurch wird die Durchblutung des Gehirns wieder hergestellt. Durch Entfernen des Stents in geöffnetem Zustand wird das, sich im Stent befindliche Gerinnsel mitentfernt, wodurch eine dauerhafte Durchblutung des Gehirns gewährleistet wird. Ähnliche Verfahren kommen auch bei der Behandlung eines Herzinfarkts schon sein längerem zum Einsatz. Es kann auch ein röhrenförmiges Metallgitter eingesetzt werden, damit die Arterie dauerhaft offen bleibt. Der Eingriff wird in Vollnarkose durchgeführt und dauert etwa eine halbe Stunde. Mit seinen erfahrenen Oberärzten stellt Prof. Rath sicher, dass dieses Verfahren jederzeit durchgeführt werden kann.
Erste Studien belegen eine hohe Erfolgsquote, da in etwa 90 Prozent der Fälle das verschlossene Gefäß wieder eröffnet werden kann. Darüber hinaus zeigen sie, dass bei erfolgreicher Thrombektomie die Beeinträchtigungen der Patienten durch den Schlaganfall signifikant geringer sind. Nach dem derzeitigen Stand des Wissens bietet eine Thrombektomie gerade bei Verschlüssen großer hirnversorgender Gefäße mit großen Gerinnseln und initial schlechtem klinischen Zustand die Chance, das Ausmaß der Schäden für die Betroffenen deutlich zu verringern. Im optimalen Fall kann der so behandelte Patient sogar einen potentiell tödlich verlaufenden Schlaganfall ohne wesentliche Defizite überstehen. Eine kürzere Zeitspanne vom Einsetzen der Symptome bis zur Wiederherstellung des Blutflusses und der Grad der Reperfusion sind unerlässliche Faktoren für ein besseres Behandlungsergebnis für die Patienten. Drei bis sechs Stunden nach dem Schlaganfall können mit dieser Methode noch recht gute Ergebnisse erzielt werden.

Zeigen die modernen Katheter für die Thrombektomie: Neurologe Dr. Thorsten Fortwängler (v.l.), Dr. Adisa Kursumovic und Prof. Dr. Stefan Rath von der Klinik für Neurochirurgie, Wirbelsäulenchirurgie und Interventionellen Neuroradiologie.
Voraussetzung für die Thrombektomie-Technik ist deswegen eine schnelle Reaktion der bei einem Schlaganfall anwesenden Personen. Schlaganfallpatienten müssen unverzüglich in ein Krankenhaus gebracht werden, das für die Versorgung solcher Patienten eingerichtet ist. Es können auch Patienten unter laufender Lyse von anderen Krankenhäusern in spezialisierte Zentren wie das DONAUISAR Klinikum Deggendorf verlegt werden.
Sollte der Schlaganfall von einer Gehirnblutung kommen, darf zwar keine Thrombektomie durchgeführt werden, aber die Deggendorfer Neurologen und Neurochirurgen führen eine angemessene Versorgung auf der Neurointensvistation ggf. mit einer Operation zur Senkung des Hirndrucks durch. Ein Schlaganfall kann auch durch den Verschluss der Halsschlagader entstehen, dann operiert am DONAUISAR Klinikum Deggendorf die Gefäßchirurgie und entfernt den Verschluss. Als eine von sehr wenigen Kliniken in Bayern bietet das DONAUISAR Klinikum das umfassende Spektrum der Schlaganfallbehandlung: Diagnose und Lyse durch Radiologen und Neurologen, Thrombektomie und Operation durch die Neurochirurgen und Gefäßchirurgen.

Im Zentrum für Angiografie werden die Eingriffe durchgeführt.
Daten und Fakten zum Schlaganfall
Der Deutschen Schlaganfallhilfe zufolge ereignen sich jährlich knapp 270.000 Schlaganfälle in Deutschland. Ein Fünftel der betroffenen Patienten verstirbt innerhalb der ersten Wochen, und rund die Hälfte der überlebenden Schlaganfall-Patienten bleibt ein Jahr nach dem Ereignis dauerhaft behindert und ist auf fremde Hilfe angewiesen. In Deutschland leiden derzeit fast eine Million Menschen an den Folgen dieser Erkrankung. Nicht zuletzt: Nach Krebs- und Herzerkrankungen ist der Schlaganfall die dritthäufigste Todesursache.